Мозги под микроскопом
Нервная система позволяет живому организму воспринимать окружающую информацию, принимать решения и доносить их до отдельных органов. Это своеобразный командный центр, работающий с невероятной скоростью. И в центре него – головной мозг. Именно он обрабатывает все входящие сигналы и отдает приказы. Конечно, процесс размышлений в микроскоп не увидишь, а вот клетки мозга разглядеть вполне даже можно. Где взять мозг, спросите вы? В наборе готовых микропрепаратов! Сразу предупреждаем, этот образец входит только в крупные наборы. Если вы не нашли подходящий, мозг человека под микроскопом можно увидеть на фото ниже.
Мозг человека под микроскопом, 400x
Нейрон – клетка мозга. Круглые точки на фотографии – ее ядра. Между ними практически не видно границ, так как они плотно прилегают друг к другу. Помимо них на изображении можно рассмотреть и продольные нити – отростки нейронов, которые образуют нейронную сеть и отвечают за передачу информации. Изучать мозг под микроскопом можно уже на увеличении всего в несколько десятков раз. Эта мощность доступна любым биологическим микроскопам, даже детским. Кстати, именно для детей это исследование может показаться очень интересным. Чтобы удивить маленького исследователя, можно вооружиться детским микроскопом Levenhuk LabZZ M101 – его возможностей вполне хватит для изучения мозга.
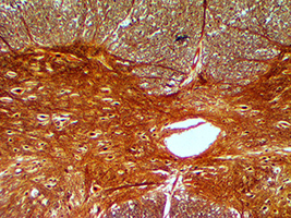
В человеческом организме есть еще один важный элемент нервной системы – спинной мозг (под микроскопом он выглядит как на фото ниже). И, пожалуй, он больше впечатлит неподготовленного исследователя. Рассмотрим, что есть что.

Спинной мозг человека под микроскопом, 100x
«Темная бабочка» в центре – это серое вещество. Именно здесь сосредоточены нервные клетки, которые отвечают за передачу информации. При этом сами информационные сигналы передаются по нервам – отросткам, которые отходят от бабочки в разные стороны. Они образуют белое вещество. Чтобы увидеть спинной мозг человека под микроскопом, достаточно вооружиться биологическим микроскопом и готовым микропрепаратом. Большое увеличение, как и при изучении головного мозга, не понадобится.
Человеческий организм – сложная и интересная биологическая машина. В нем много элементов, которые интересно изучать при помощи микроскопа. Рекомендуем обратить внимание на набор готовых микропрепаратов Levenhuk N80 NG «Увидеть все!» , в который входит много образцов человеческих тканей. Благодаря ему вы сможете изучить кровеносную, покровную, двигательную и нервную системы, а также отдельные органы – желудок, легкие, селезенку и многие другие. Для наблюдений рекомендуем использовать биологические микроскопы. Хорошим выбором станут микроскопы Levenhuk, Bresser, Микромед. Пишите, звоните – наши консультанты с радостью помогут вам подобрать подходящую модель!
Обновлено 20.10.2022
Использование материала полностью для общедоступной публикации на носителях информации и любых форматов запрещено. Разрешено упоминание статьи с активной ссылкой на сайт www.4glaza.ru.
Производитель оставляет за собой право вносить любые изменения в стоимость, модельный ряд и технические характеристики или прекращать производство изделия без предварительного уведомления.